Smile Gallery

Patients come to us with different concerns, and they can require different approaches to care. We are proud to share some of our successes through the years, and the exciting smile improvements as a result of treatment!

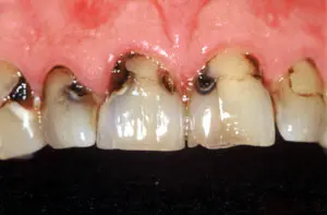
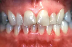
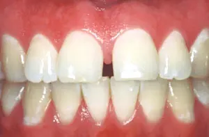
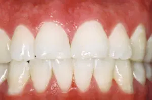
Case 1

smile gallery image
Before
Smile gallery image
Before
Smile gallery image
After
Smile gallery image
After

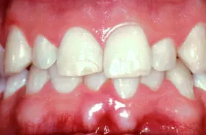
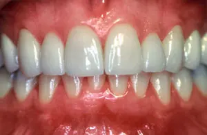
Case 2

Smile gallery image
Before
Smile gallery image
After

Case 3

Smile gallery image
Before
Smile gallery image
After

Case 4

Smile gallery image
Before
Smile gallery image
After

Case 5

Smile gallery image
Before
Smile gallery image
After

Case 6

Smile gallery image
Before
Smile gallery image
After

Case 7

Smile gallery image
Before
Smile gallery image
After

Case 8

Smile gallery image
Before
Smile gallery image
After

Case 9

Smile gallery image
Before
Smile gallery image
After

Case 10

Smile gallery image
Before
Smile gallery image
After

Case 11

Smile gallery image
Before
Smile gallery image
After

Case 12

Smile gallery image
Before
Smile gallery image
After